速看!儿童痛风的元凶在这里,家长早知道,孩子受益一生
时间:2023-06-29
陈奶奶怎么也没想明白,自己的孙子居然也能患上痛风这种“老人病”。
原来去年开始,陈奶奶每天都要给孙子做两杯鲜榨果汁。陈奶奶觉得鲜榨果汁一定营养保存得最好。除了果汁,孙子平时也是离不开各种饮料。

一天,孙子喝完第二杯果汁后,没多久就开始脚趾肿痛,疼到实在不行了,就送到医院。
一查才知道,孙子痛风了。
“孩子那么小,平时也不大鱼大肉,为什么就痛风呢?”
体内尿酸够多了,痛风就“不挑”年龄
陈奶奶不解,“明明痛风是老年病,怎么会发生在孙子身上?”
这要从什么是痛风说起了。

痛风主要由人体内过高的尿酸引起,由于尿酸过高而血液又无法完全溶解,就会导致一部分尿酸沉积在身体的各个部位,尤其是四肢,形成尿酸盐结晶(俗称痛风石),进而产生疼痛感。
试想一下,有沙子掺进鞋里,走起路来都会难受。如同沙子一样的痛风石在关节内产生摩擦,能不疼吗?

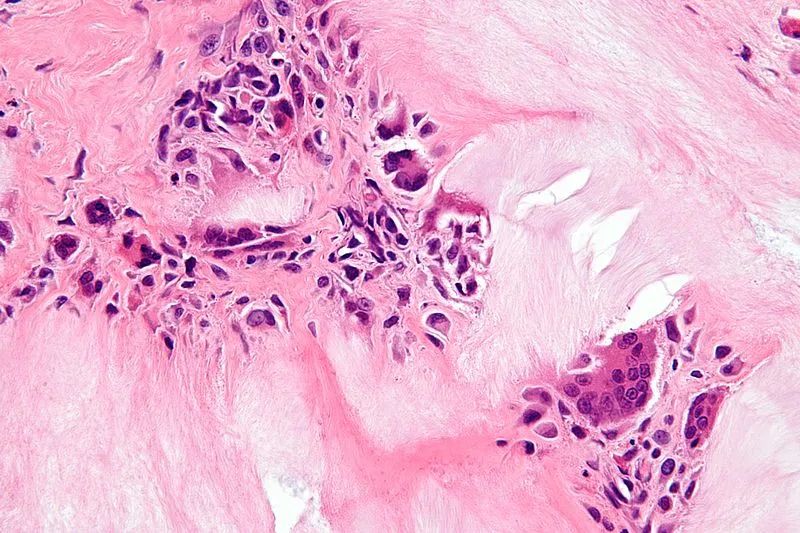
痛风石长这样 图/Wikimedia
引用自 https://commons.wikimedia.org/wiki
/File:Gouty_tophus_-_very_high_mag.jpg
痛风石通常出现在哪儿?一般在耳廓、关节周围、肌腱、软组织等周围皮下可见。
陈奶奶还错在哪儿了?
当医生告诉陈奶奶,她的每天两杯鲜榨果汁可能是孙子痛风的主因时,陈奶奶更不解了。
“鲜榨果汁能有多少嘌呤,怎么也会引发痛风?”
说到痛风,我们都会联想到嘌呤。

生活中的“糖”无处不在
的确,长期大量食用富含嘌呤的食物容易引发痛风。殊不知,生活中的“糖”也是一大诱因。
新鲜水果中含有果糖,适当食用并无大碍,但鲜榨果汁需要大量新鲜水果,容易导致摄入的果糖超标。另外,水果里的果糖经过榨汁过程中,容易转化成游离糖,更容易被人体吸收,进入代谢过程。
果糖在体内代谢过程中会产生尿酸,导致生成的尿酸增多。
此外,果糖还可减少尿酸排泄,促进内源性尿酸合成。
研究发现,果糖可降低9.8%的尿酸清除率,其机制是果糖引起胰岛素抵抗。
尿酸生成多了,还没办法排出,尿酸值一路飙升。加上孙子也不忌口,含糖饮料不离手,久而久之,能不痛风吗?
痛风患者平时该如何饮食?
既然喝鲜榨果汁容易导致痛风,那痛风患者平时该喝什么?

答案很简单:白开水。
每天补充足够的水分就能够产生大量的尿液,让体内多余的尿酸随尿液排出体外,这样体内的尿酸值就会降低,痛风的发作几率则会大大降低。
同时,痛风患者需要补充比正常人更多的水分,才能保持多余尿酸顺利排出,通常每天至少要饮水2000毫升。
说完了喝,痛风患者平时该吃什么?
回答这个问题前,首先要消除大家的一个误区,痛风不一定是吃出来的。

因为嘌呤多,海鲜锅还被称为“痛风锅”
很多人会认为,痛风就是摄入了大量的嘌呤导致的。其实不然。
研究显示,我们体内的嘌呤,仅有约20%来自饮食摄入,吃喝其实并不占大头。真正影响的是,嘌呤和尿酸的代谢过程。
虽然“吃喝并不占大头”,并不代表可以毫无顾忌。
中华医学会的《高尿酸血症和痛风治疗的中国专家共识》建议痛风患者要注意饮食,已患有痛风、高尿酸血症、有代谢性和心血管危险因素及中老年人群,饮食应以低嘌呤食物为主。
这里有一份建议饮食清单,大家可以在日常生活中参考。


同时,患者可以适量摄入中嘌呤食物,如绿豆、红豆、豆腐、豆浆等豆制品,猪肉、牛肉、鸡肉、鸭肉等肉制品,以及鲫鱼、鲈鱼等水产品,但要控制摄入量。
尽管目前的医疗手段无法根治痛风,只要大家健康饮食,必要时配合正规治疗,就能远离痛风的侵扰,享受无“痛”生活。




